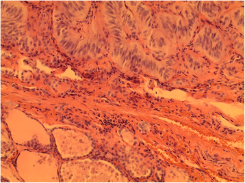
Fig. 2
From: Hyalinizing trabecular tumor of the thyroid gland and its significant diagnostic issue

HTT (superior) juxtaposed with uninvolved thyroid parenchyma (inferior) with intervening fibrous capsule (H&E, 200X)
From: Hyalinizing trabecular tumor of the thyroid gland and its significant diagnostic issue

HTT (superior) juxtaposed with uninvolved thyroid parenchyma (inferior) with intervening fibrous capsule (H&E, 200X)